Asayiş

Midelerinde uyuşturucu sevkiyatı yapan 2 torbacı tutuklandı

|
Midelerinde uyuşturucu sevkiyatı yapan 2 torbacı tutuklandı
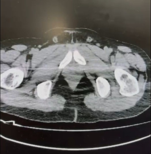
Nevşehir’de polis ekiplerince düzenlenen operasyonda midelerinde uyuşturucu sevkiyatı yapan 2 şüpheli gözaltına alındı.
Nevşehir İl Emniyet Müdürlüğü Narkotik Suçlarla Mücadele Şube Müdürlüğü ekipleri, kentte uyuşturucu ve uyarıcı madde ticareti yapmak ve kullanmak suretiyle vatandaşları zehirleyen sokak satıcılarına yönelik çalışma başlattı. Cumhuriyet Başsavcılığı koordinesinde çalışmalarını yoğunlaştıran ekipler, şüpheliler S.B. ve O.R.’nin ’yutma yöntemi’ ile kente uyuşturucu madde sevk edeceği bilgisi üzerine operasyon düzenledi. Şüphelilerin ikametlerinde ve araçlarında yapılan aramada 101 kapsül halinde 722 gram uyuşturucu madde, 1 adet hassas terazi, uyuşturucu madde sevkiyatında yutma yönteminde kullanılan muhtelif materyaller, uyuşturucu madde ticaretinden elde edilen 20 bin 210 TL, bin 320 euro ve 10 ABD doları ele geçirildi. Emniyetteki işlemlerinin ardından adliyeye sevk edilen 2 şüpheli, çıkarıldıkları mahkemece tutuklanarak cezaevine gönderildi.
Midelerinde uyuşturucu sevkiyatı yapan 2 torbacı tutuklandı
Midelerinde uyuşturucu sevkiyatı yapan 2 torbacı tutuklandı
Midelerinde uyuşturucu sevkiyatı yapan 2 torbacı tutuklandı
Midelerinde uyuşturucu sevkiyatı yapan 2 torbacı tutuklandı
Midelerinde uyuşturucu sevkiyatı yapan 2 torbacı tutuklandı
Midelerinde uyuşturucu sevkiyatı yapan 2 torbacı tutuklandı

Yorum Yazın

Yorum yazarak topluluk kurallarımızı kabul etmiş bulunuyor ve tüm sorumluluğu üstleniyorsunuz. Yazılan yorumlardan sitemiz hiçbir şekilde sorumlu tutulamaz.